Orthodontie de l’enfant
Première consultation orthodontique chez l’enfant (dès 7 ans)
La première consultation orthodontique, recommandée autour de 7 ans, est un bilan d’observation et de prévention. Elle permet d’évaluer le développement des dents, des mâchoires et de la croissance faciale, ainsi que certaines fonctions comme la respiration ou la position de la langue.
Elle n’entraîne pas systématiquement un traitement.
À cet âge clé (dentition mixte), certaines situations peuvent être repérées précocement. Dans de nombreux cas, une simple surveillance est suffisante.
La consultation comprend :
- un temps d’échange et d’informations avec l’enfant et les parents,
- un examen clinique des dents, des mâchoires et des fonctions (mastication, respiration, position de la langue),
- si besoin, des examens complémentaires (radiographies).
Cette consultation est non douloureuse, non invasive et se déroule dans un climat rassurant pour l’enfant. À l’issue du rendez-vous, soit un suivi est proposé, soit un bilan orthodontique complet est réalisé si un traitement s’avère nécessaire.

Voici le parcours de soins au cabinet du Docteur Baillet.
Le docteur Baillet travaille main dans la main avec d’autres professions de santé indispensables à certains patients pour la réussite de leur traitement : ORL, orthophonistes, kinésithérapeuthes, chirurgiens-dentistes, pédodontistes, etc.
Les traitements orthodontiques chez l’enfant
« Plus le traitement est précoce, plus la face peut être adaptée au concept thérapeutique, plus le traitement est tardif, plus le concept thérapeutique doit être adaptée à la face ». Carl GUGINO
En dentition mixte, des traitements précoces peuvent parfois être proposés afin de :
- de corriger certains anomalies au moment où la croissance est la plus favorable,
- de prévenir l’aggravation des malocclusions,
- de corriger les déséquilibres fonctionnels ou squelettiques,
- d’optimiser l’espace pour les dents définitives,
- de réduire la complexité des traitement ultérieurs.
L’objectif est d’intervenir au bon moment, sans précipitation, pour simplifier ou alléger les traitements futurs.
Ces traitements sont généralement de courte durée (6 à 12 mois) et bien intégrés dans la vie quotidienne de l’enfant, avec l’accompagnement des parents.
Les appareils peuvent être amovibles ou fixes. Exemple d’appareils d’interception :
- Appareils d’expansions (disjoncteurs, plaques à vérins, etc)
- Appareils de maintien d’espace (arc lingual, arc transpalatin, etc)
- Appareils fonctionnels (grille anti pouce, éducateur fonctionnels, etc)



Pour bénéficier d’un accompagnement adapté et planifier un premier rendez-vous pour votre enfant, vous pouvez prendre rendez-vous en ligne auprès du Dr Estelle Baillet à son cabinet Artalign à La Roche-sur-Foron et engager cette démarche préventive dès aujourd’hui.
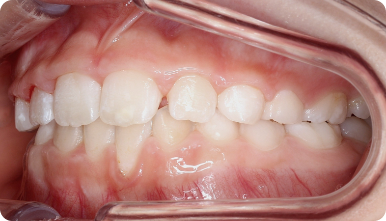
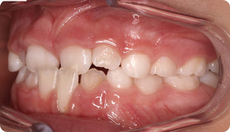
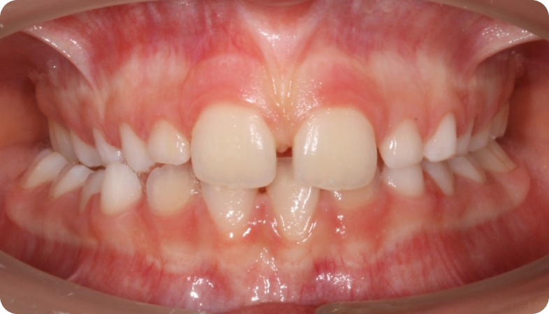
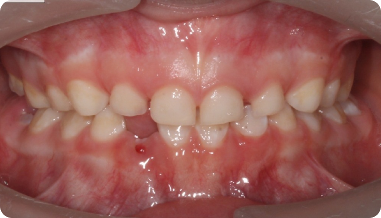
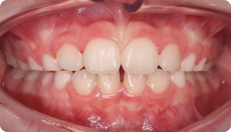
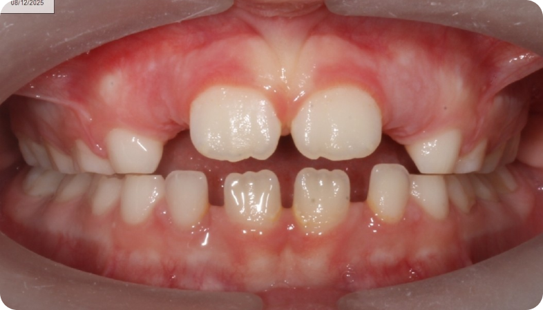
Cas cliniques