Orthodontie de l’adulte
Les traitements orthodontiques sont possibles à tout âge, dès lors que la santé bucco-dentaire le permet.
Contrairement à l’enfant ou à l’adolescent, chez l’adulte la croissance étant terminée, une attention particulière est portée à l’état du support parodontal (gencives et os), afin de garantir des déplacements dentaires sûrs et stables.
Selon la situation clinique, le traitement peut être simple, sans chirurgie, visant à corriger des malpositions dentaires ou des déséquilibres occlusaux, ou plus complexe, nécessitant une prise en charge orthodontico-chirurgicale lorsque les décalages entre les mâchoires sont importants.
Les bénéfices d’un traitement à l’âge adulte sont multiples :
- Amélioration de la fonction orale par la correction de malocclusion pour une meilleur mastication et par l’optimisation de la coordination des machoires ce qui peut réduire les tensions musculaires/douleurs articulaires et usure prématurée des dents ;
- Impact positif sur la santé globale : la santé bucco-faciale est reconnue comme partie intégrante de la santé globale ;
- Prévention de problème bucco-dentaire pour faciliter le nettoyage et réduire les risques de traumatisme dentaire ;
- Amélioration de l’esthétique et du bien-être
- Préparation à d’autres soins dentaires (implant, couronne, etc).


Plusieurs options d’appareils peuvent être proposées en fonction des objectifs, de la discrétion souhaitée et du mode de vie :
- les gouttières d’alignement Invisilign ®, amovibles et transparentes,
- les appareils multi-attaches vestibulaires Damon ®, métalliques ou céramiques,
- les appareils multi-attaches linguales, placés sur la face interne des dents pour une discrétion maximale.



Chaque traitement repose sur un bilan orthodontique complet et personnalisé (photographies, radiographies, empreintes dentaires), afin de proposer la solution la plus adaptée aux besoins fonctionnels, esthétiques et parodontaux de chaque patient adulte.
Voici le parcours de soins au cabinet du Docteur Baillet.
Et après le traitement ?
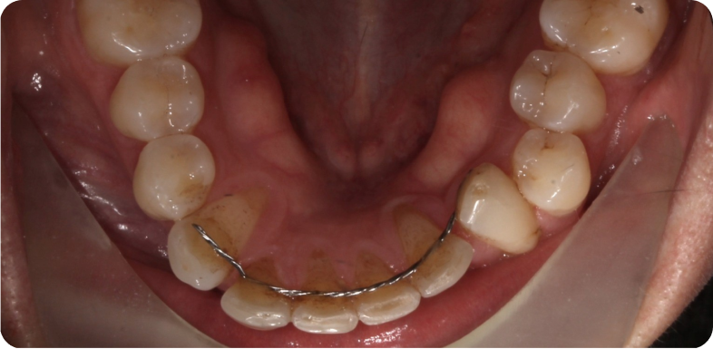
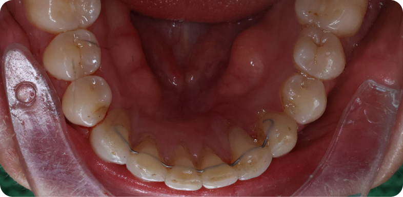
À l’issue du traitement par gouttières, une phase de contention est indispensable afin de stabiliser le résultat obtenu et limiter les risques de récidive.
Des fils de contention sont généralement placés derrière les incisives et canines du haut et du bas. Ils doivent être conservés le plus longtemps possible afin de maintenir l’alignement dentaire.
Le suivi se poursuit ensuite par des contrôles réguliers, en moyenne tous les 6 mois, afin de vérifier la stabilité du résultat et le bon état des dispositifs de contention.
Pour bénéficier d’un accompagnement adapté et planifier un premier rendez-vous, vous pouvez prendre rendez-vous en ligne auprès du Dr Estelle Baillet à La Roche-sur-Foron et engager cette démarche préventive dès aujourd’hui.
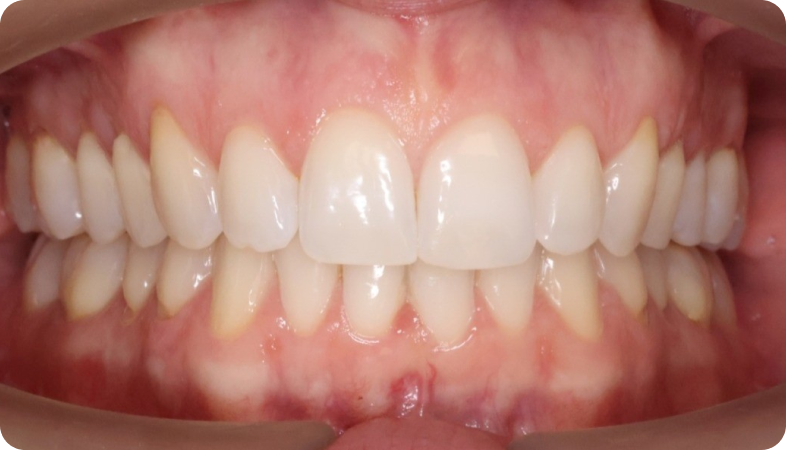
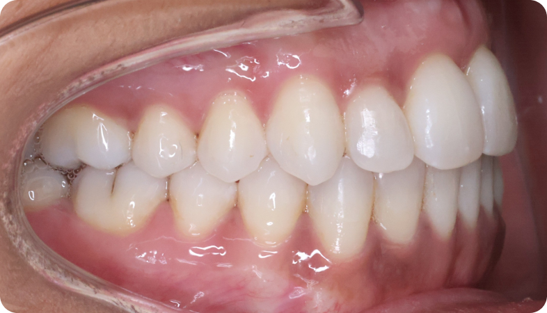
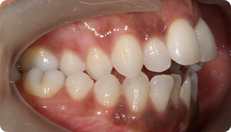
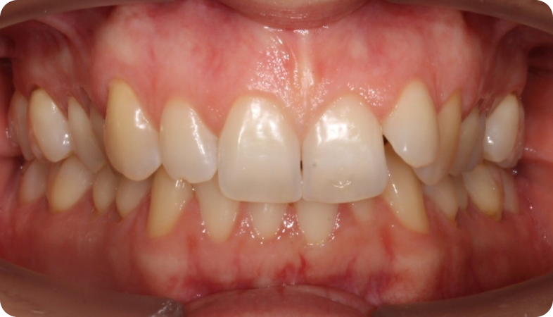
Cas cliniques