Orthodontie de l’adolescent
L’adolescence représente une période importante en orthodontie.
L’arrivée progressive des dents définitives et la croissance encore active des mâchoires en font un moment particulièrement favorable pour corriger les malpositions dentaires et guider le développement des mâchoires de manière efficace et durable.
Le meilleur moment pour consulter est autour de 11 et 12 ans juste avant la chute des dernières dents de lait, cela permet de traiter au moment souhaité.
Pour répondre aux besoins spécifiques de chaque adolescent, plusieurs types d’appareils orthodontiques peuvent être proposés par le Dr Baillet Estelle, en fonction de la situation clinique, de l’âge et du mode de vie :
- les appareils de correction transversale comme le disjoncteur,
- les activateurs de croissance, utilisés pour accompagner et rééquilibrer le développement des mâchoires (PUL, Forsus ®) ;
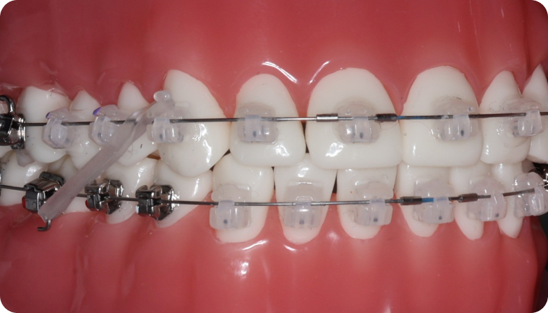
- les appareils multi-attaches fixes, permettant un contrôle précis des déplacements dentaires (Damon ®) ;
- les gouttières d’alignement, solutions amovibles et discrètes, adaptées à certaines situations. (Invisilign ®)




Le choix du traitement est toujours personnalisé, après un bilan orthodontique complet (photographies, radiographies et empreinte dentaire), afin de proposer la solution la plus adaptée à chaque adolescent.
Voici le parcours de soins au cabinet du Docteur Baillet.
Ressenti et adaptation au quotidien
Chez de nombreux adolescents, l’adaptation à l’appareillage se fait progressivement. Une sensation de pression peut apparaître après la pose de l’appareillage ou lors des ajustements, mais elle reste généralement transitoire. L’appareil devient ensuite une partie du quotidien, sans gêne majeure lors des activités scolaires ou sportives.
Sur le plan pratique, tous les appareils d’orthodontie nécessitent une hygiène bucco-dentaire rigoureuse et de faire attention à l’alimentation (éviter les aliments durs et collants pour ne pas endommager l’appareillage).
Suivi orthodontique et ajustements réguliers
Tout au long du traitement, des rendez-vous de suivi sont programmés toutes les 6 à 7 semaines. Ces séances permettent de faire des ajustages de l’appareil, de contrôler l’évolution des déplacements dentaires et l’état dentaire.
Et après ?
Après la fin du traitement actif, le docteur Baillet installe des fils de contention derrière les incisives/canines du haut et du bas pour assurer la stabilité du résultat.
Le traitement n’est pas terminé, il est nécessaire de revenir en contrôle tous les 6 mois afin de vérifier la stabilité du résultat et s’assurer que les fils de contention soient en bon état.
Orthodontie chirurgicale chez l’adolescent
Dans certaines situations particulières, des anomalies importantes des mâchoires peuvent être identifiées dès l’adolescence. Lorsque ces décalages sont marqués et ne peuvent pas être corrigés par un traitement orthodontique seul, une prise en charge orthodontico-chirurgicale peut être envisagée.


La prise en charge repose sur une collaboration étroite entre l’orthodontiste et le chirurgien maxillo-facial, afin d’établir un plan de traitement personnalisé, évolutif et respectueux du développement de l’adolescent.


Pour bénéficier d’un accompagnement adapté et planifier un premier rendez-vous pour votre adolescent, vous pouvez prendre rendez-vous en ligne auprès du Cabinet d’orthodontie Artalign du Dr Estelle Baillet à La Roche-sur-Foron et engager cette démarche préventive dès aujourd’hui.
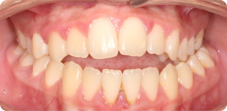
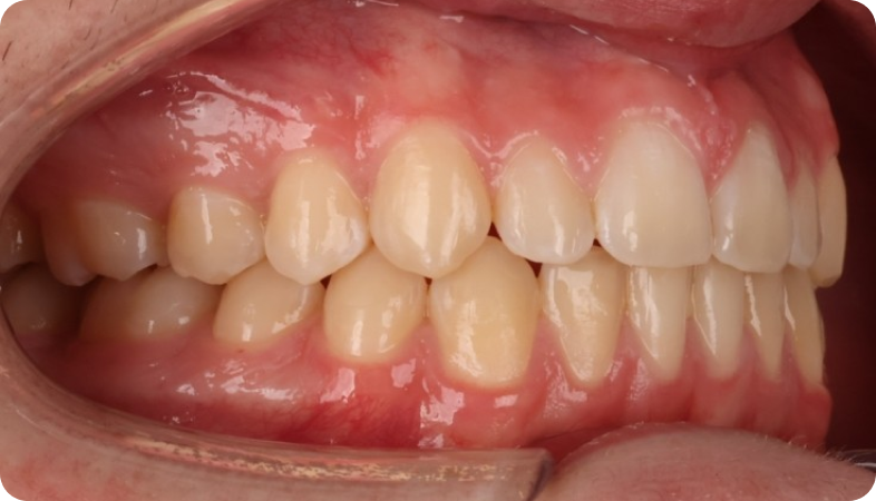
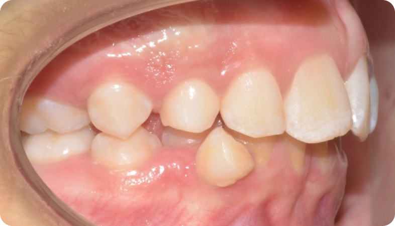
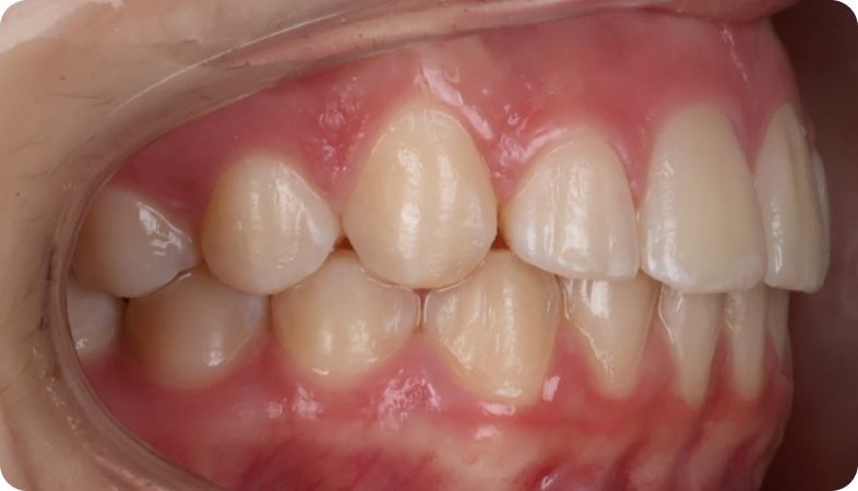
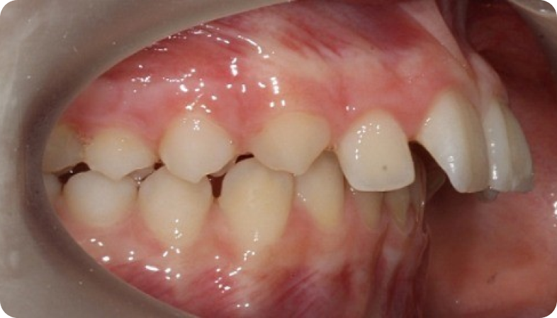
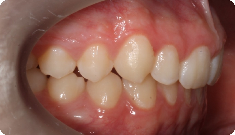
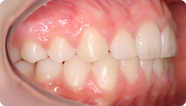
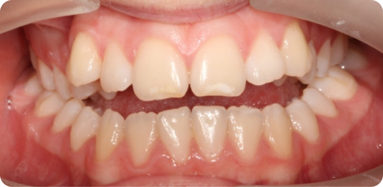
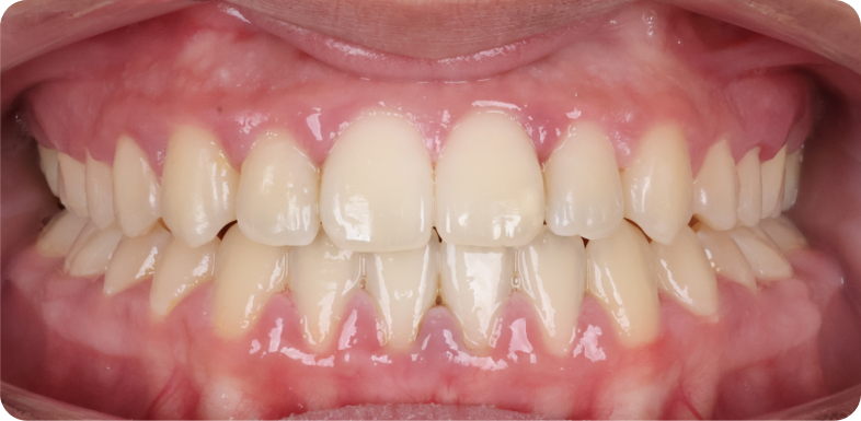
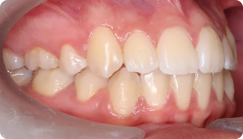
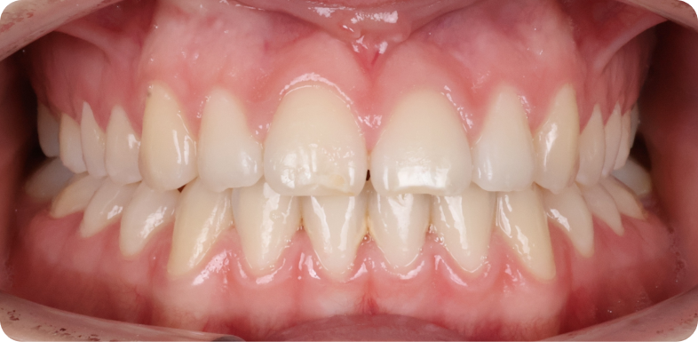
Cas cliniques